sarcome-vd-2-fin

Ce contenu est protégé par un mot de passe. Pour le voir, veuillez saisir votre mot de passe ci-dessous :

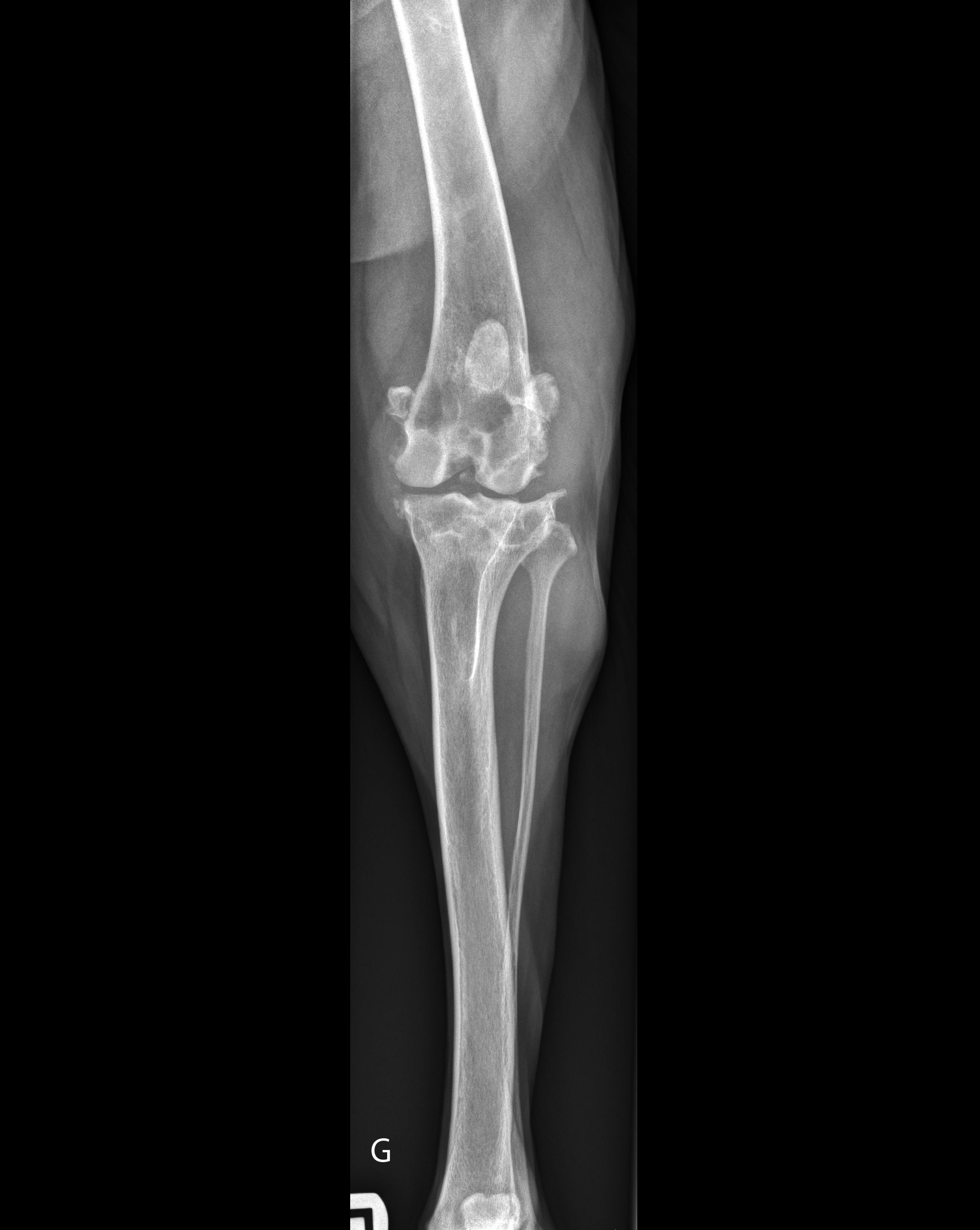
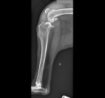
Caudocrâniale

Laisser un commentaire

Ce site utilise Akismet pour réduire le pourriel. En savoir plus sur comment les données de vos commentaires sont utilisées.