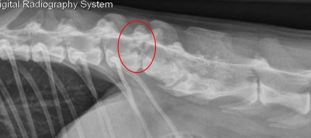
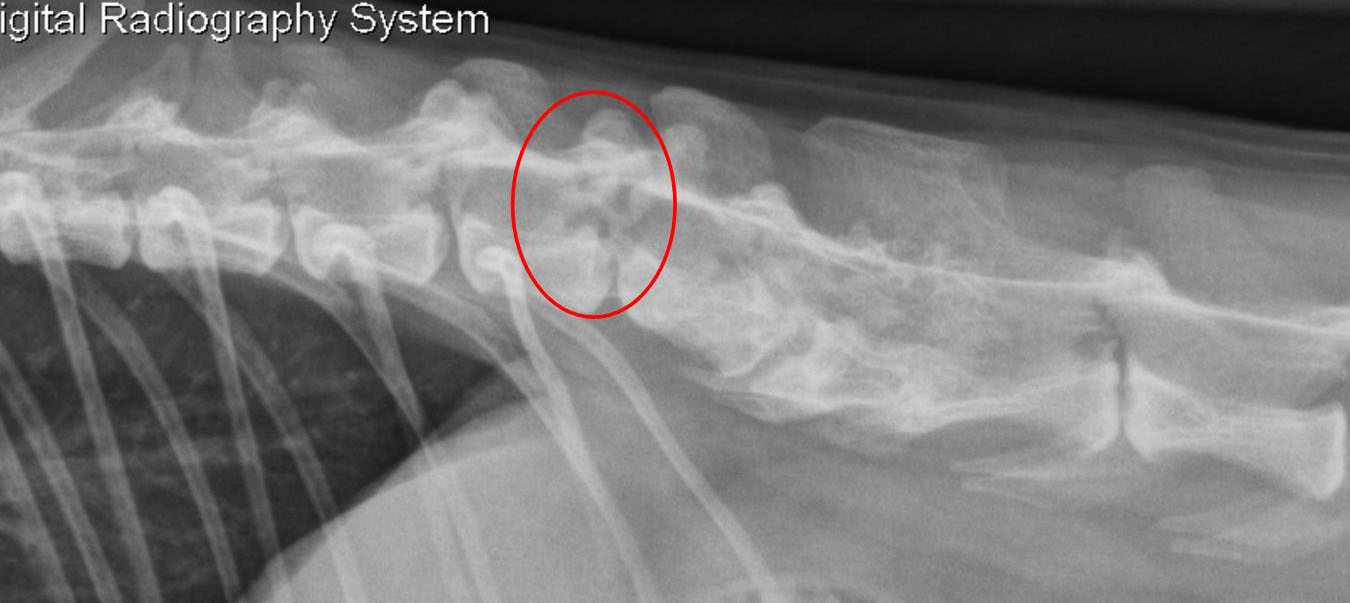
Le spectre vertébral – zoom

Laisser un commentaire

Ce site utilise Akismet pour réduire le pourriel. En savoir plus sur comment les données de vos commentaires sont utilisées.