Les malheurs de Goglu [suite et fin]
Vous voulez revoir les articles précédent ? Voici: 1 et 2.
Des ponctions à l’aiguille fine de la lésion au tarse ont révélé des critères cytologiques compatibles avec un sarcome (osseux primaire vraisemblablement) alors que celles de la masse pulmonaire ont révélé un carcinome (d’origine pulmonaire, vraisemblablement). L’échographie abdominale n’a rien révélé de significatif. Notre oncologue en a donc conclu qu’il s’agissait bien de l’un de ces cas – pas commun, mais pas si rares que ça – où deux tumeurs malignes sans aucun lien entre-elles se retrouvent dans le même chien. Wow… Il faut donc garder l’esprit ouvert en médecine vétérinaire !
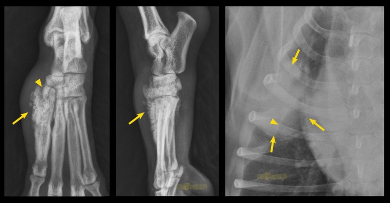
Plusieurs choses nous agaçaient dans la présentation clinique et radiographique de ce cas atypique… D’abord, la lésion osseuse semblait bien monostotique (un seul os atteint) sur la dorsoplantaire (DP), même si la latérale donnait l’impression que la rangée distale du tarse était affectée. Sur la DP, on remarque que la tête du métatarsien II est élargie et déborde proximalement et dorsalement pour se superposer aux os de la rangée distale du tarse qui paraissent intacts. La tête de cet os est remplie de foyers lytiques (tête de flèche) alors qu’une réaction périostique irrégulière – en partie bien définie (proximalement, flèches) et en partie mal définie (distalement) – s’étend distalement (faces médiale, dorsale et plantaire). Les tissus mous adjacents sont épaissis.

La possibilité d’ostéopathie hypertrophique fut considérée, mais celle-ci ne provoque généralement pas de lyse osseuse et implique typiquement les membres de façons symétriques et les faces axiales et abaxiales des os appendiculaires (bien que ce ne soit pas toujours le cas). En voici deux beaux exemples (chiens avec masse pulmonaire – à gauche – et masse oesophagienne – à droite).
Pour ce qui est des poumons, une seule grosse lésion fut identifiée (flèches sur la figure 1) , alors que les métastases d’ostéosarcome sont le plus souvent multiples et plus petites que celle-ci. Notez la fine scissure (tête de flèche) entre les lobes cranial et moyen du poumon droit.
D’un point de vue radiographique, 4 principaux scénarios furent envisagés pour relier tous ces changements:
1. Sarcome histiocytaire disséminé (histiocytose maligne)
2. Carcinome pulmonaire primaire avec métastase osseuse
3. Deux tumeurs malignes distinctes
4. Pathologie fongique multifocale (blastomycose, etc.)





