4.1.8 – Grasset
POSITIONNEMENT
Vue latérale
Positionnement :
- L’animal est couché en position latérale (gauche s’il s’agit du MPG ou droit s’il s’agit du MPD).
- Le membre doit être en position naturelle/neutre.
- Dégager l’autre membre en l’étirant vers l’avant.
Collimation :
- Distalement, la collimation doit inclure le tiers proximal du tibia.
- Proximalement, elle doit se rendre jusqu’au tiers distal du fémur.
Centrage :
- Centrer le faisceau sur le genou.
Orientation :
- Avant d’envoyer les radiographies, il est important de s’assurer que la partie crâniale du membre est à gauche et que sa partie caudale à droite sur l’écran.
- Également, l’extrémité distale du membre doit pointer vers le bas de l’écran.
Mesure :
- Une fois l’animal en position radiographique, placer la règle au niveau du grasset afin de prendre une mesure.




Vue latérale TPLO
Positionnement :
- L’animal est couché en position latérale (gauche s’il s’agit du MPG ou droit s’il s’agit du MPD).
- Le genou en flexion à 90 degrés et le tarse en flexion à 90 degrés.
- Dégager l’autre membre en l’étirant vers l’avant.
Collimation :
- Distalement, la collimation doit inclure le tarse.
- Proximalement, elle doit se rendre jusqu’au tiers distal du fémur.
Centrage :
- Centrer le faisceau sur le genou.
Orientation :
- Avant d’envoyer les radiographies, il est important de s’assurer que la partie crâniale du membre est à gauche et que sa partie caudale à droite sur l’écran.
- Également, l’extrémité distale du membre doit pointer vers le bas de l’écran.
Mesure :
- Une fois l’animal en position radiographique, placer la règle au niveau du grasset afin de prendre une mesure.
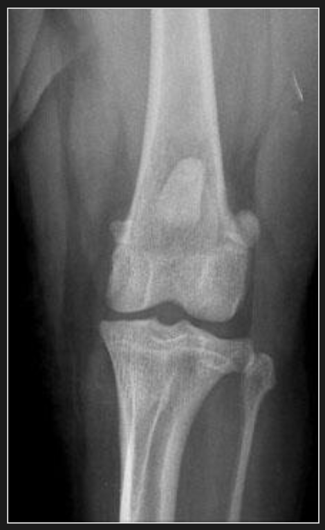
Vue crânio-caudale
Positionnement Crânio-caudale :
- L’animal est couché en position dorsale.
- Étirer le membre en effectuant une bonne traction et rotation interne sur la patte.
- S’assurer d’avoir le bassin bien droit et apposé à la table.
- S’assurer d’avoir le tibia bien droit et parallèle à la table.
- S’assurer d’avoir les rotules bien centrées.
Collimation :
- Distalement, la collimation doit inclure le tiers proximal du tibia.
- Proximalement, elle doit se rendre jusqu’au tiers distal du fémur.
- N’inclure que la largeur de la patte avec le marqueur sans trop d’espace vide.
Centrage :
- Centrer le faisceau sur le genou.
Orientation :
- Avant d’envoyer les radiographies, il est important de s’assurer que la droite du membre est à gauche et que sa gauche à droite sur l’écran.
- Également, l’extrémité distale du membre doit pointer vers le bas de l’écran.
Mesure :
- Une fois l’animal en position radiographique, placer la règle au niveau du genou afin de prendre une mesure.
Vue caudo-crâniale
Positionnement Caudo-crâniale :
- L’animal est couché en position sternale.
- Étirer le membre vers l’arrière en effectuant une rotation interne de façon à ce que la rotule soit bien centrée et apposée sur la table.
- S’assurer que le tibia est bien droit et que la rotule est bien centrée.
Collimation :
- Distalement, la collimation doit inclure le tiers proximal du tibia.
- Proximalement, elle doit se rendre jusqu’au tiers distal du fémur.
- N’inclure que la largeur de la patte avec le marqueur sans trop d’espace vide.
Centrage :
- Centrer le faisceau sur le genou.
Orientation :
- Avant d’envoyer les radiographies, il est important de s’assurer que la droite du membre est à gauche et que sa gauche à droite sur l’écran.
- Également, l’extrémité distale du membre doit pointer vers le bas de l’écran.
Mesure :
- Une fois l’animal en position radiographique, placer la règle au niveau du genou afin de prendre une mesure.







