Cas intrigant 1 – Réponse
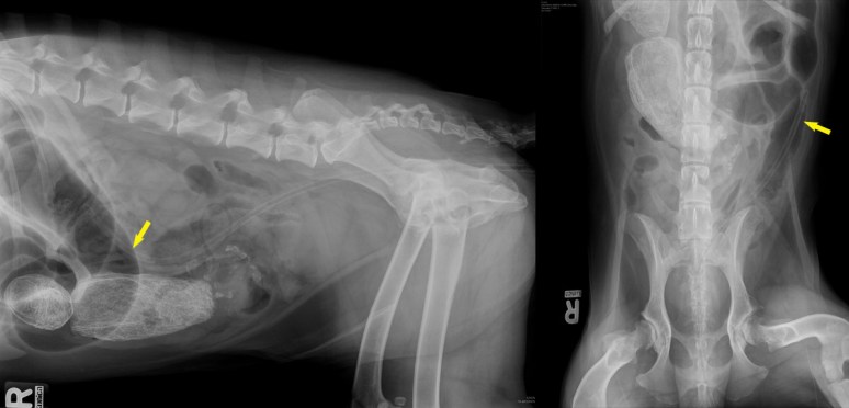
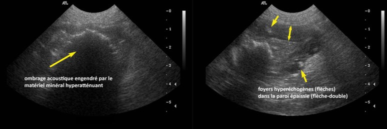
D’abord, une sonde a été glissée dans le colon pour en déterminer la localisation (flèches) et vérifier que les structures minérales étaient dans un segment du petit intestin. Une écho a aussi été faite, puis un CT. Puis, le chien a été envoyé en chirurgie (cliquer sur les images pour obtenir plus de détail).
Après excision de la paroi anormale et analyse histologique, voici le verdict: adénocarcinome mucineux kystique intestinale !







