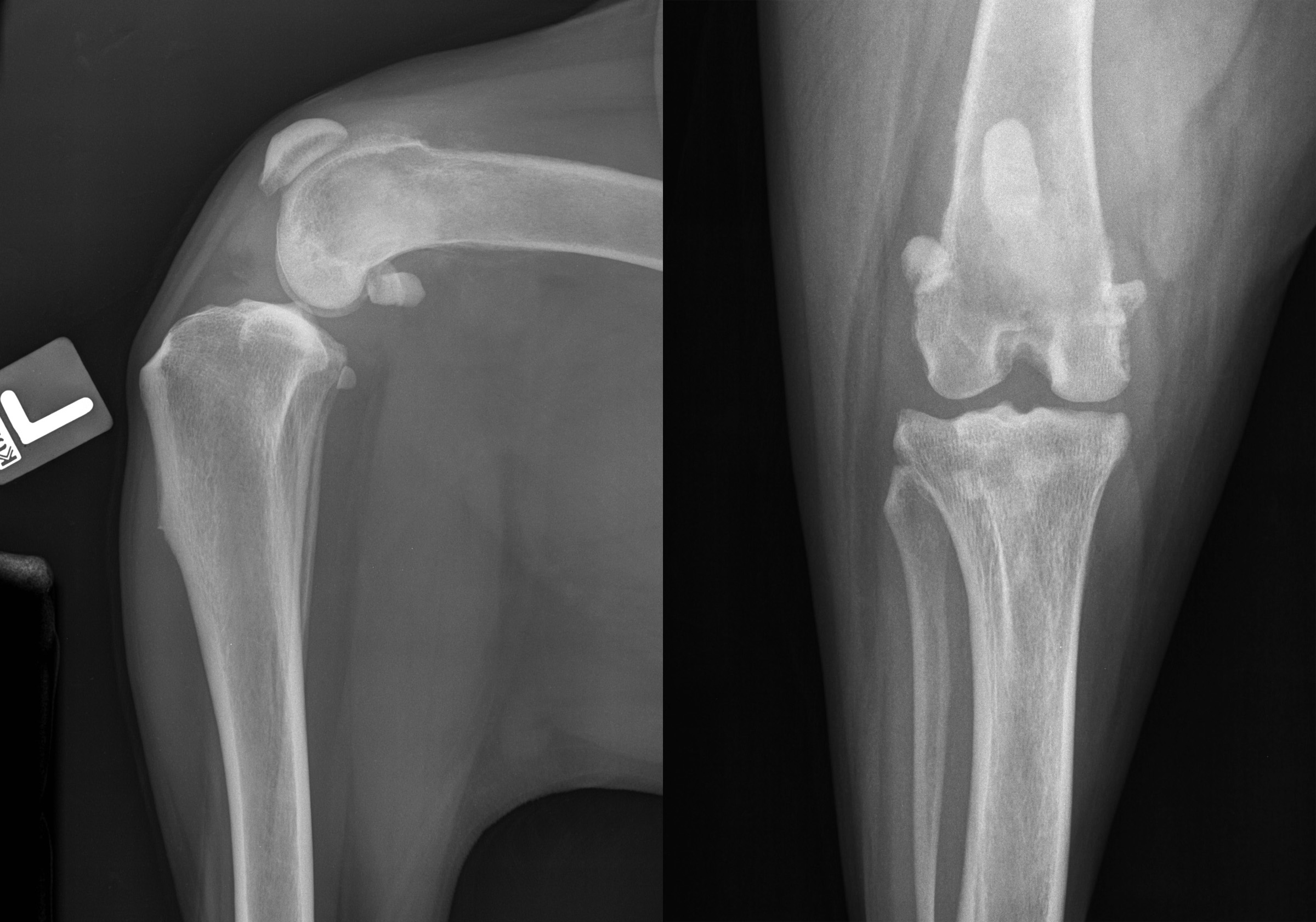
RadioQuiz 3: Docteur, mon chien boite…
Signalement: labrador, femelle opérée de 8 ans
Histoire Clinique: boiterie progressive au membre pelvien gauche.
(cliquez sur l’image pour la voir en plein écran)
Pour consulter la réponse, cliquez ICI.
Signalement: labrador, femelle opérée de 8 ans
Histoire Clinique: boiterie progressive au membre pelvien gauche.
(cliquez sur l’image pour la voir en plein écran)
Pour consulter la réponse, cliquez ICI.
Bravo pour le site, j’aime beaucoup. J’imagine qu’il va y avoir des précisions avec la réponse, mais je me demandais à la radio si c’est possible de différencier OA par une atteinte méniscale ou RLCC ?
Merci Sonia ! Ne t’en fais pas, la réponse tiendra compte de ta question. Elle viendra sous peu.
Toujours pas de réponse ?
La réponse se trouve au bout du lien à cliquer, au bas de la question. La réponse a été publiée en mai 2012 ;-). Bonne lecture !
Autant pour moi, merci !
Et bonne année à vous !