Pour vous guider dans vos diagnostics
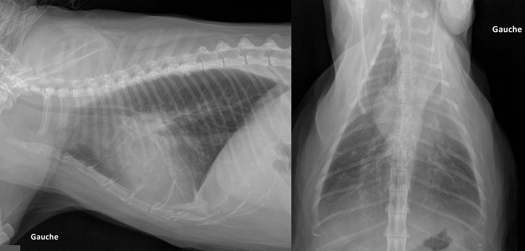
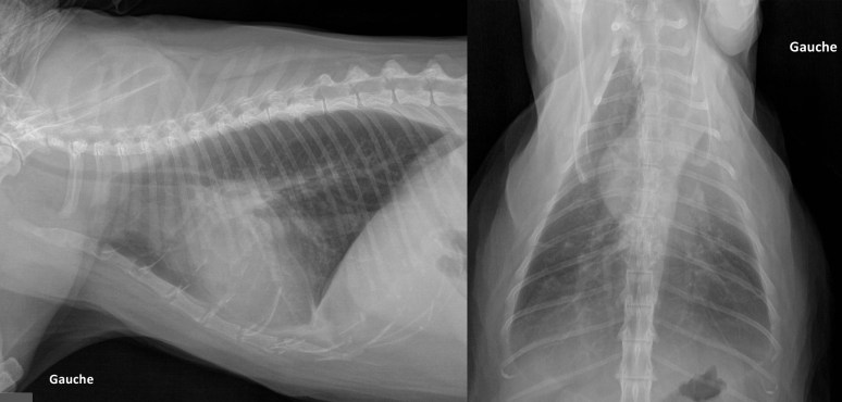
Signalement: chat domestique, femelle opérée de 12 ans
Histoire clinique: anorexie, perte de poids, vomissements
Δ
Ce site utilise Akismet pour réduire le pourriel. En savoir plus sur comment les données de vos commentaires sont utilisées.
Inscrivez ici votre adresse pour recevoir un rappel par courriel à chaque nouvelle publication.
Adresse courriel :
Suivre
RSS - Articles