RadioQuiz 7 – Réponse
Sur ces radiographies, ce qu’il fallait reconnaître est la série de lignes d’opacité tissulaire à minérale à l’intérieur du fondus gastrique (flèches). Outre le fait que l’antre pylorique comportait un peu de gaz, il n’y avait pas de réel signe d’obstruction. Le détail abdominal était relativement bon et le duodénum n’était pas anormalement dilaté, ce qui n’exclut pas la possibilité de pancréatite, mais du moins, aucun signe radiographique suggérait cette possibilité. Le petit intestin ne comportait pas une quantité anormale de liquide ou d’air. Le segment rempli d’air (C) au centre-droit de l’abdomen avait la forme et la position du cécum et d’une portion du côlon. Lors de volvulus intestinal, on s’attend normalement à observer une dilatation intestinale marquée et de l’épanchement péritonéal, ce qui n’était pas le cas. Une échographie s’imposait alors pour aller vérifier l’estomac et exclure plus définitivement la possibilité de corps étranger intestinal ou de pancréatite.

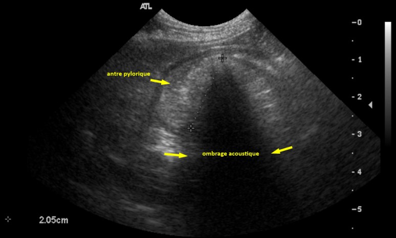
L’échographie a d’abord révélé un estomac rempli de liquide et de matériel hyperéchogène en région déclive (Image écho 1), puis une structure hyperatténuante provoquant un ombrage acoustique presque complet dans le corps et l’antre de l’estomac (Images écho 2 et 3). Comme la nourriture normale ne devrait pas engendrer d’ombrage complet (à ne pas confondre avec un ombrage trouble souvent associé à la présence de nourriture et d’air), ce signe a été interprété comme signe convaincant de corps étranger ! Comme ce corps étranger était mobile, il a bougé entre les radios et l’échographie.
En chirurgie, un gant a été retiré de l’estomac ! Pour les intéressés, ce gant n’a pas été affecté par les sucs gastriques. Il est offert sur eBay pour seulement 192,000$ !








