RadioQuiz 8 – Réponse
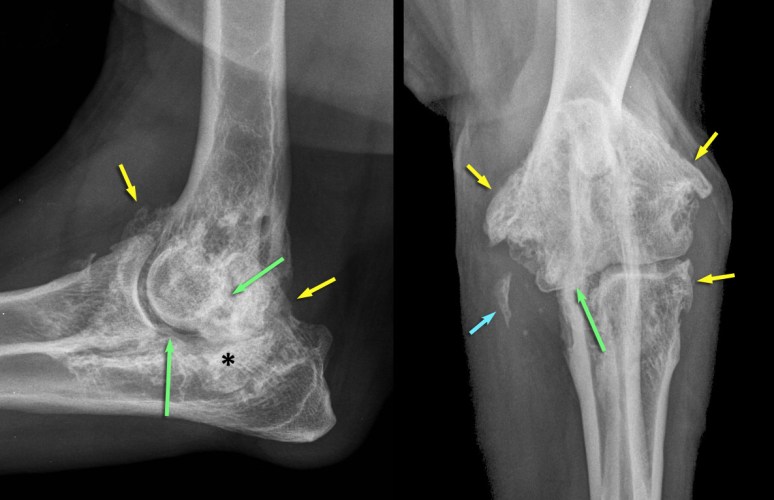
On note d’abord une prolifération osseuse périarticulaire marquée (flèches jaunes), dont le contour est irrégulier mais bien défini, indiquant un processus inactif à faiblement actif. Cette prolifération est compatible avec une ostéophytose (i.e. aux marges articulaires, à la jonction synoviale/capsulaire) et/ou enthésophytose (i.e. à l’intérieur des tissus mous périarticulaires, au site d’insertion dans l’os = enthèse). Quelques foyers minéraux amorphes sont situés médialement au coude (flèche bleue), impliquant probablement le ou les tendons fléchisseurs du coude s’insérant sur l’épicondyle huméral médial situé plus haut. Les marges sous-chondrales (flèches vertes) sont irrégulières et l’espace articulaire est hétérogène par endroit (notamment sous le processus anconé). Une incongruence articulaire est suspectée, alors que le processus coronoïde latéral est plus haut que la tête radiale sur la vue latérale (flèche verte) et que le processus coronoïde médial est mal défini et semble plus haut que la tête radiale sur la vue cranio-caudale (flèche verte). Finalement, on note une sclérose (*) sous-chondrale à l’incisure ulnaire. Ces changements sont compatibles avec de l’ostéoarthrose sévère, vraisemblablement secondaire à une dysplasie du coude (incongruence et fragmentation du processus coronoïde médial). Les marges articulaires ne montraient pas de lyse sous-chondrales, ce qui aurait permis de suspecter une arthrite rhumatoïde. Il n’a pas de lyse au site d’insertion de la capsule articulaire pour suggérer une tumeur agressive des tissus mous articulaires, ni de lyse médullaire ou corticale pour suggérer un ostéosarcome. Une arthrite septique aurait aussi engendré des changements mal définis (alors que la prolifération dans ce cas est bien définie) et une lyse sous-chondrale devrait être visible assez tôt dans le processus.




