Petit cas du vendredi midi
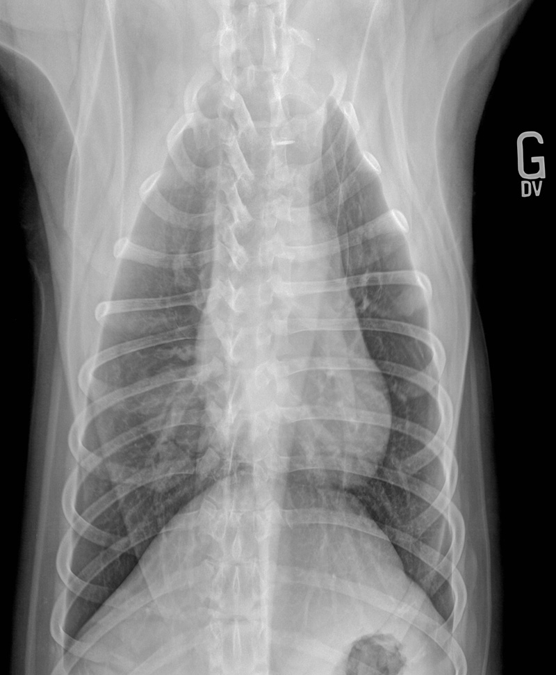
Voici deux clichés radiographiques obtenus d’un Bouvier bernois de 6 ans présenté pour des signes neurologiques suggérant une atteinte du thalamocortex.
Pour la suite, cliquez ICI.
Voici deux clichés radiographiques obtenus d’un Bouvier bernois de 6 ans présenté pour des signes neurologiques suggérant une atteinte du thalamocortex.
Pour la suite, cliquez ICI.




