RadioQuiz 13 – Donnez-lui un petit sac
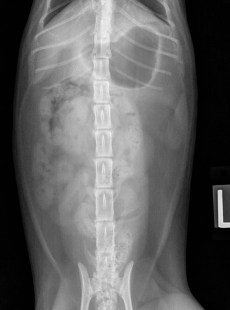
Signalement: chatte domestique stérilisée de 2 ans
Histoire clinique: vomissements aigus depuis 2 jours
Pour lire la réponse, cliquez ICI (mot de passe: animages)
Signalement: chatte domestique stérilisée de 2 ans
Histoire clinique: vomissements aigus depuis 2 jours
Pour lire la réponse, cliquez ICI (mot de passe: animages)




