Chat gonflable – la suite
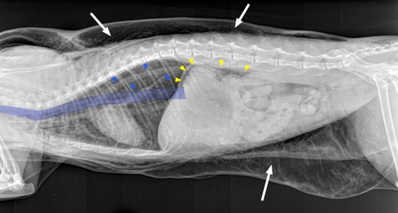
On note tout d’abord une quantité marquée de gaz qui dissèque les plans adipeux sous-cutanés (flèches blanches), donnant cette apparence de vagues ondulantes à la périphérie de notre chat. Dans la cavité thoracique, on remarque que les structures médiastinales sont soulignées, notamment les contours de l’aorte (flèches bleues), les parois externes de la trachée, l’oesophage thoracique (en bleu) de même que certains gros vaisseaux (tronc brachio-céphalique, veine cave craniale) autrement invisibles. Cette apparence indique la présence d’un pneumomédiastin. On note également que la silhouette cardiaque est légèrement décollée du sternum et que le diaphragme apparaît aplati. Même si un pneumomédiastin peut évoluer en pneumothorax, ce n’était pas le cas ici (voir plus loin l’explication de ces signes). On note enfin du gaz dans l’espace rétro-péritonéal et autour de la partie dorsale de l’estomac (flèches jaunes).
Tout comme la majorité d’entre vous, avec la présence d’un emphysème sous-cutané, d’un pneumomédiastin et d’un pneumopéritoine aussi importants, nous avons tout de suite suspecté une lésion aux voies respiratoires supérieures pendant la procédure de dentisterie, soit à l’intubation (stylet), pendant l’anesthésie (ballonet surgonflé) ou à l’extubation (retrait du tube endotrachéal alors que le ballonet est toujours gonflé). Et comme le traitement de ce genre de cas est la plupart du temps conservateur, l’air sous-cutané a été drainé et le patient mis sous observation. Toutefois, le chat a continué de se détériorer dans les heures suivantes, à tel point qu’il a été placé dans la cage à oxygène. Des radiographies du cou ont alors été réalisées afin de chercher une explication pour cette détérioration.
Sur cette radiographie, outre les multiples opacités aériques linéaires de l’emphysème sous-cutané, on remarque la présence d’une réduction progressive de la lumière trachéale (astérisques blancs) par une opacité de tissus mous qui semble provenir de l’aspect dorsal (flèches jaunes), un peu à l’image d’un collapse trachéal chez un chien de petite race. Honnêtement, nous n’avions pas une idée précise de ce que c’était à ce moment-là mais suspections tout de même que cela pouvait expliquer les signes de détresse respiratoire de notre patient. Et comme il ne s’améliorait pas, nous avons décider de faire un CT du thorax sous-sédation profonde.
Nous fûmes donc très surpris de constater que cette image était en fait créée par une herniation de l’oesophage à l’intérieur de la trachée via une longue déchirure dorsale !
Sur cette coupe transverse, on voit que l’oesophage (O) se retrouve maintenant à l’intérieur de la trachée (T, contour extérieur identifié par les flèches blanches), seul une mince portion de la lumière (en forme de croissant) restant disponible pour le passage de l’air. On voit également de multiples zones d’emphysème sous-cutané (E). Après discussion, nous avons opté pour une chirurgie afin de réparer cette déchirure traumatique de la trachée.
Les Drs Louis Huneault et Pierre Clerfond, respectivement chirurgien et résident en chirurgie à l’Hôpital vétérinaire Rive-sud, sont venus à la rescousse pour refermer la trachée de notre pauvre chat.
On voit ici une image intra-opératoire de la déchirure qui se situait à la jonction entre la membrane dorsale et les anneaux de la trachée. On note que le tube endotrachéal est inséré directement dans la lumière de la partie caudale de la trachée via le site chirurgical. La longueur réelle de la déchirure avait été sous-estimée au CT, cette dernière s’étendait pratiquement du larynx à la carina en chirurgie. Ce fût une chirurgie assez complexe et risquée mais qui s’est bien terminée grâce à nos deux chirurgiens, le chat ayant pleinement récupéré et obtenu son congé complet quelques jours après l’opération.
Quant à cette histoire de pseudo pneumothorax sur la latérale du thorax, cette impression était le résultat du pneumomédiastin qui était si important qu’il repoussait les lobes pulmonaires latéralement, soulevait le coeur et poussait le diaphragme caudalement. On voit bien l’effet de cet accumulation de gaz sur une image transverse de CT.

LPg = lobes pulmonaires gauches; LPd = lobes pulmonaires droits; C = coeur; T = trachée; Ao = aorte; E = emphysème sous-cutané.







L’horreur!!! Je souhaite que ça ne m’arrive jamais…
En effet…
On a su par la suite qu’on avait essayé de retirer le tube à plusieurs reprises alors que le ballonnet était toujours gonflé.