RadioQuiz 14 – Réponse
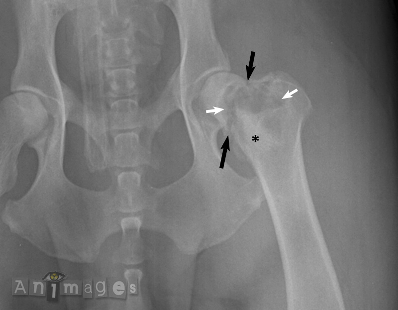
Il s’agissait en effet d’une lésion osseuse agressive. Celle-ci se caractérise par une zone de lyse mitée à géographique (flèches blanches) dans la métaphyse proximale du fémur, au contour mal défini et irrégulier, et accompagnée d’une prolifération osseuse mal définie superposée à la médulla à sa marge distale (*). La métaphyse est déformée et raccourci, alors qu’un défaut cortical est évident crânialement et caudalement (flèches noires), indiquant une fracture pathologique. Celle-ci est survenu en raison de la fragilité de l’os engendrée par le processus agressif. Les caractéristiques et la localisation de cette lésion, couplées au signalement et aux données cliniques de l’animal, sont compatibles avec une tumeur osseuse maligne primaire (ostéosarcome, fibrosarcome ou chondrosarcome) ou encore une tumeur d’une autre lignée cellulaie, tel un sarcome histiocytaire. Techniquement, une ostéomyélite aurait pu être considérée sur la base de cette image, mais collait moins bien avec l’histoire clinique et la loi des chiffres (i.e. la probabilité de rencontrer une ostéomyélite chez un animal mature, dans la métaphyse fémoral proximale, comparativement à une tumeur osseuse primaire). Un ostéosarcome a finalement été confirmé.






Ping : RadioQuiz 14 – Mon chien traîne de la patte |