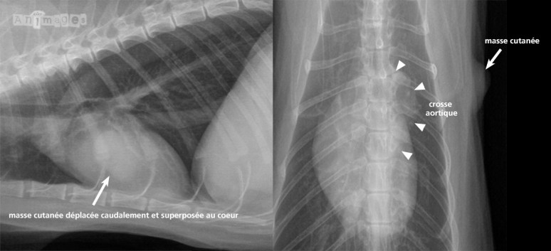
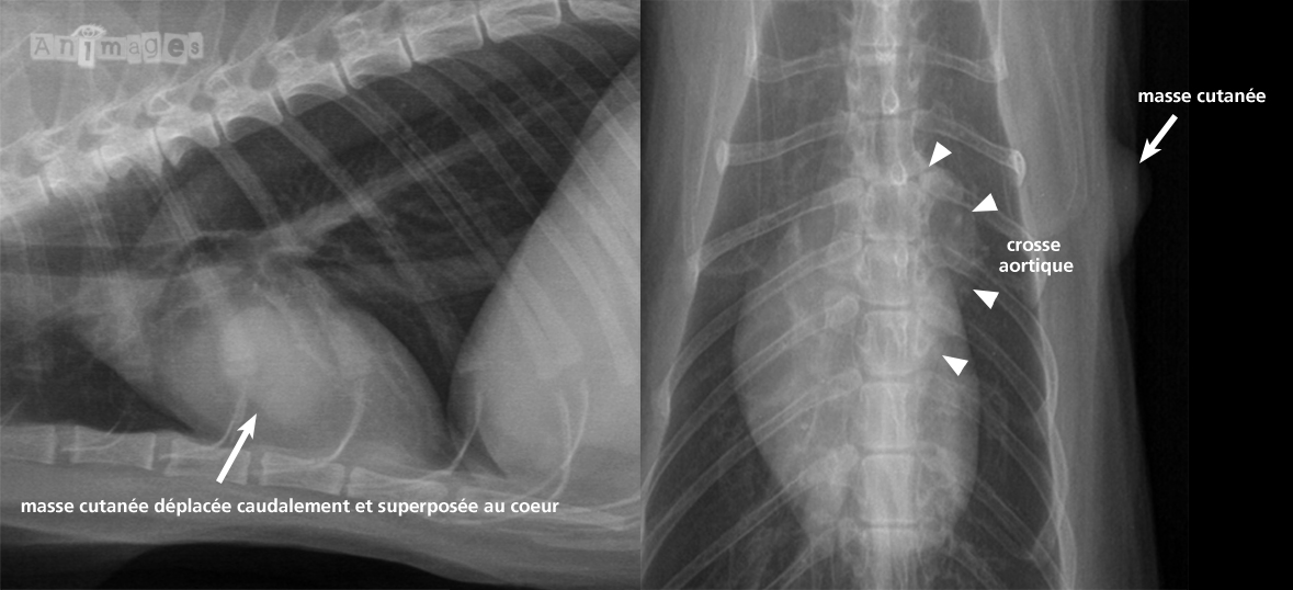
Cette tache sur le coeur, c’est la petite masse sur la peau
Ahhhh, ce vilain jeu des superpositions ! L’opacité arrondie et bien définie superposée à la silhouette cardiaque était attribuée à la petite masse cutanée du côté gauche. Selon les réponses au quiz, la majorité d’entre vous semble avoir vu juste. Bravo ! Pour les autres, dites-vous que nous sommes tous passés par là… et ça nous arrive encore ! 😉 La proéminence de la crosse aortique peut en voir déjoué certains. Cette trouvaille est fréquente chez les vieux chats et possiblement davantage chez les hyperthyroïdiens et/ou hypertendus, bien que ça n’a pas vraiment été démontré, du moins pas à ma connaissances. Cette déformation de l’aorte proximale est aussi souvent accompagnée d’une silhouette qui s’allonge sur le sternum. Dans ce cas-ci, la silhouette était aussi allongée en raison d’une augmentation de volume du coeur gauche, vraisemblablement associée à l’hyperthyroïdie. Les vaisseaux sont normaux (bien effilés et à peine visible en périphérie) et le parenchyme ne montre aucun signe d’oedème.






Ping : Docteur, c’est quoi cette tache blanche sur le coeur de mon chat ? |