Pour vous guider dans vos diagnostics
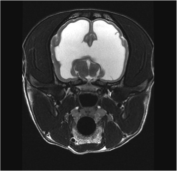
Transverse T2
Δ
Ce site utilise Akismet pour réduire le pourriel. En savoir plus sur comment les données de vos commentaires sont utilisées.