RadioQuiz 17 – Réponse
Pour lire l’article original et revoir les radiographies abdominales, cliquez ICI.
Les radiographies montrent une augmentation d’opacité impliquant la cavité péritonéales, accompagnée d’une perte de contour de la portion caudale de la silhouette hépatique, de la rate, de la vessie et du petit et gros intestin, compatible avec un épanchement péritonéal. La région centrale montre une opacité fortement hétérogène, formée de multiples opacités adipeuses et du tissu mou/liquide entremêlées et mal définies, suggérant une atteinte des gras mésentériques/omentaux, le tout associé à un effet de masse, déplaçant le côlon et les reins dorsalement. La paroi du côlon descendant paroi aussi épaissie et irrégulière. L’estomac est dilaté par de l’air et son axe est légèrement dévié caudalement, suggérant une hépatomégalie. Ceci est aussi corroboré par l’extension caudale de la portion ventrale du foie sur la projection latérale. De tels signes justifiaient un examen échographique…
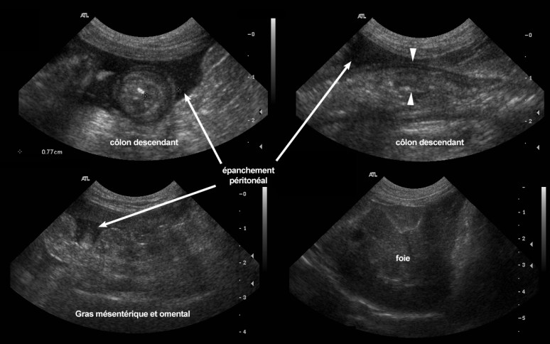
Celui-ci a confirmé la présence d’un épanchement péritonéal d’aspect granulaire (cellulaire) et un épaississement nodulaire et globalement hyperéchogène des gras mésentérique et omental. Le foie était aussi plus gros et diffusément hypoéchogène de façon homogène. Un épaississement de la paroi du côlon a aussi été identifié (jusqu’à 8mm, vs. 1-2mm) sur plus de 10 cm de longueur. Cet épaississement était asymétrique et associé à une altération des couches pariétales. Des noeuds lymphatiques coliques et jéjunaux étaient aussi augmentés de volume et hypoéchogènes. Un carcinome colonique avec carcinomatose péritonéale (i.e. dissémination et implantation de cellules cancéreuses) a été diagnostiqué par cytoponction échoguidée.
Les carcinomatoses originent souvent du tractus intestinal, du foie ou du pancréas chez les vieux chats. Les patients sont souvent présentés pour abattement, distension et inconfort abdominal, perte de poids et signes digestifs. L’échographie est la modalité d’imagerie la plus utile dans la démarche diagnostique de ce syndrome.





