RadioQuiz 19 – Petite masse sur un pied
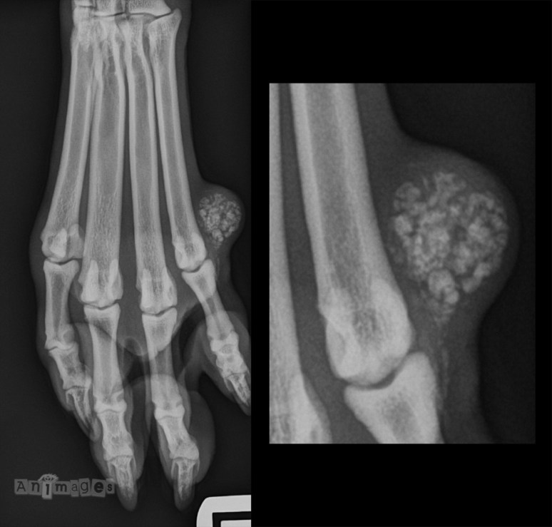
Signalement: Rottweiler mâle intact, 12 mois.
Présentation clinique: Masse indurée palpée du côté latéral du pied gauche que le chien s’est mis à lécher récemment.

Pour la réponse, cliquez ICI (mot de passe: animages)





Ping : RadioQuiz 19 – Réponse |