Souvenir d’un BBQ – la suite
Pour relire l’article original, cliquez ICI.
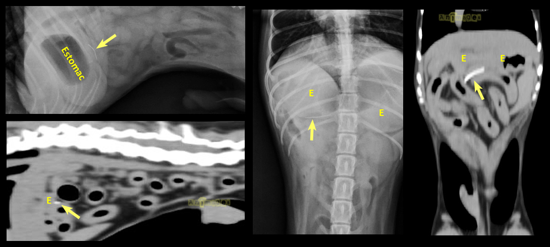
Comme la majorité d’entres vous le recommandiez, nous avons échographié l’abdomen de ce chien sans toutefois arriver à identifier le corps étranger (flèche jaune). Il faut toutefois préciser que l’estomac était légèrement dilaté par de l’air, tout comme le côlon transverse qui le longe tout juste caudalement. Il n’y avait pas de signe de perforation (air libre ou épanchement liquidien). Cependant, les gras étaient hyperéchogènes tout près du caecum qui se trouvait sous l’arche costale du côté droit. En raison de la minceur du corps étranger et pour éviter une longue chirurgie exploratrice possiblement non fructueuse, une tomodensitométrie (CT-scan) a été proposée pour en déterminer la localisation. Sur les images reformatées en différents plans (voir ci-bas), le corps étranger a été localisé dans les gras tout juste derrière le corps de l’estomac. Fait intéressant, il n’y avait pas d’air libre dans la cavité péritonéale. Ces informations ont permis au chirurgien de rapidement identifier le petit fil de métal en palpant doucement les gras derrière l’estomac. Le petit corps étranger n’était pas visible à l’oeil nu et aurait probablement été difficile à trouver sans l’aide du CT. On spécule que le petit fil de métal provenait d’une brosse à BBQ. Comme quoi il faut savoir brosser avec modération !








