RadioQuiz 28 – Réponse
Il existait plusieurs différentiels pour cette large masse dont la position anatomique et le déplacement de la trachée et de la silhouette cardiaque laissaient présager une localisation médiastinale dorsale. L’opacité gazeuse triangulaire crânialement à la masse correspond à de l’air dans la lumière oesophagienne, alors que l’oesophage caudal semble légèrement dilaté par du liquide, ou épaissi. Une tomodensitométrie aurait été une excellente modalité pour confirmer sa localisation et compléter son bilan d’extension, qu’une chirurgie soit envisageable ou non. L’échographie a cependant été proposée car elle peut être réalisée sans anesthésie générale et permet de guider des cytoponctions, tout ça à moindre coût que la tomodensitométrie (CT scan). Voici ce qui a été trouvé…

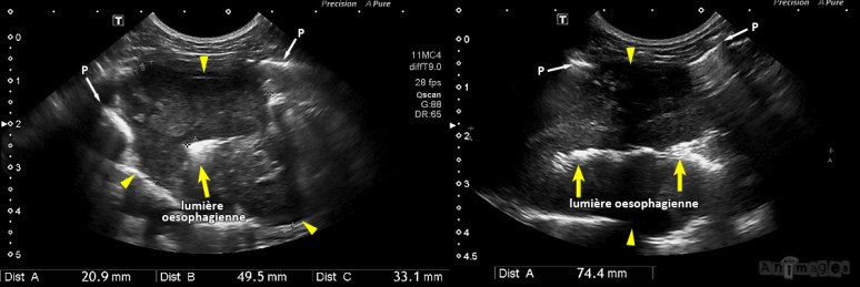
Une large masse (têtes de flèches) hétérogène et globalement hypoéchogène infiltrait de façon circonférentielle la paroi de l’œsophage, formant une masse fusiforme de 5 cm d’épaisseur sur plus de 7.4 cm de longueur. Les extensions crâniale et caudale de la masse ne pouvaient toutefois être évaluées en raison de la superposition des poumons. L’épaississement pariétal (jusqu’à 21 mm) était associé à une perte de la démarcation des couches. L’accès aux nœuds lymphatiques était aussi été limité par la présence d’air pulmonaire (P). Cet épaississement circonférentiel marqué de la portion moyenne de l’œsophage thoracique montrait donc des caractéristiques échographiques compatibles avec une infiltration néoplasique (lymphome, carcinome, mastocytome, sarcome histiocytaire, sarcome musculaire), bien qu’une œsophagite granulomateuse n’était pas complètement écartée (les flèches jaunes pointent vers la lumière oesophagienne).
Trois cytoponctions ont été réalisées par guidance échographique sans évidence de complication, révélant des caractéristiques cytologiques de sarcome histiocytaire !





