Animages

Pour vous guider dans vos diagnostics

  • ACCUEIL
  • Blogue
  • L’équipe
  • Nos services
  • ZONE VETS
  • Prochaines formations
  • ANIMAGEURS EN HERBE
  • English

Archives de catégorie – RadioQuiz

RadioQuiz 24 – Abdomen gonflé et tendu

16 février 2014

RadioQuiz 23 – J’renvoie toute la marchandise !!

23 décembre 2013

RadioQuiz 22 – Tour de reins

28 novembre 2013

RadioQuiz 21- Respiration abdominale

22 octobre 2013

RadioQuiz 20 – Vomissements projectiles

22 septembre 2013

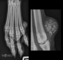
RadioQuiz 19 – Petite masse sur un pied

3 septembre 2013

RadioQuiz 18 – Par une belle journée de printemps

8 août 2013

RadioQuiz 17 – Mal au bid

22 mai 2013

RadioQuiz 16 – Hey, oh, tu touches mon épaule et je te refais le portrait

15 mars 2013

RadioQuiz 15 – Nouveau chiot, nouveau problème

19 février 2013

← Articles antérieurs
Articles ultérieurs →
  • BD Animages

  • Vous cherchez un mot-clé ou un sujet particulier ?

  • Inscrivez ici votre adresse pour recevoir un rappel par courriel à chaque nouvelle publication.

  • Statistiques du blog

    • 650 869 clics
  • Rubriques

    • Actualité (71)
    • AMVQ (34)
    • Animages vous répond (2)
    • Animagination (47)
    • BD (1)
    • C'est une question de technique (20)
    • Cas de la semaine (2)
    • Cas intrigants (17)
    • EchoQuiz (14)
    • Exotiques (1)
    • Formation continue (38)
    • Humour de radiologiste (1)
    • Ils ont mangé quoi ? (18)
    • La chronique de l'apprenti imageur (11)
    • Lésion ou non ? (9)
    • Le coin de l'étudiant (1)
    • Pour en savoir plus (3)
    • Pour le plaisir des oreilles (3)
    • Pour le plaisir des yeux (27)
    • RadioQuiz (43)
    • Réponses… (86)
    • Sur une note perso… (9)
    • Tomber en bas de sa chaise (7)
  • Mots-clefs

    abdomen AMVQ BD boiterie chat chien colonne vertébrale corps étranger coude CT DICOM DMV3236 estomac formation continue hernie discale intestin IRM masse musculosquelettique myoarthrosquelettique mégaoesophage neuro numérique obstruction OCD ostéoarthrose ostéosarcome poumons radio radiographie radiographies rate reins réponses sarcome histiocytaire thorax tomodensitométrie vessie vomissements échographie
  • Animages

    RSS Feed RSS - Articles

  • Articles récents

    • ANIMAGES AU CINÉMA 5
    • Du talent jusqu’au bout des pinceaux
    • Radios thoraciques: faut prendre une VD ou une DV ?
    • Qu’est-ce qui influence le diagnostic radiographique ?
    • Animages ouvre un internat spécialisé en imagerie !
  • Assoiffé d'imagerie ?

    • Animal Insides
    • Canal Youtube de NCSU
    • Site web de l'ACVR
    • Veterinary Imaging
    • Veterinary Radiology and Ultrasound

Propulsé par WordPress.com.

  • Abonnement Abonné
    • Animages
    • Rejoignez 295 autres abonnés
    • Vous disposez déjà dʼun compte WordPress ? Connectez-vous maintenant.
    • Animages
    • Abonnement Abonné
    • S’inscrire
    • Ouvrir une session
    • Signaler ce contenu
    • Voir le site dans le Lecteur
    • Gérer les abonnements
    • Réduire cette barre
 

Chargement des commentaires…