RadioQuiz 16 – Hey, oh, tu touches mon épaule et je te refais le portrait
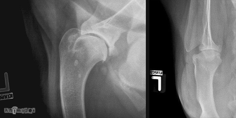
Signalement: Rottweiler, mâle intact de 6 ans.
Histoire clinique: Boiterie chronique au membre thoracique gauche. Douleur à l’extension et rotation de l’épaule.
Pour la suite, cliquez ICI.





