Cas intrigant – 1
Signalement: Labrador de 5 ans, mâle castré.
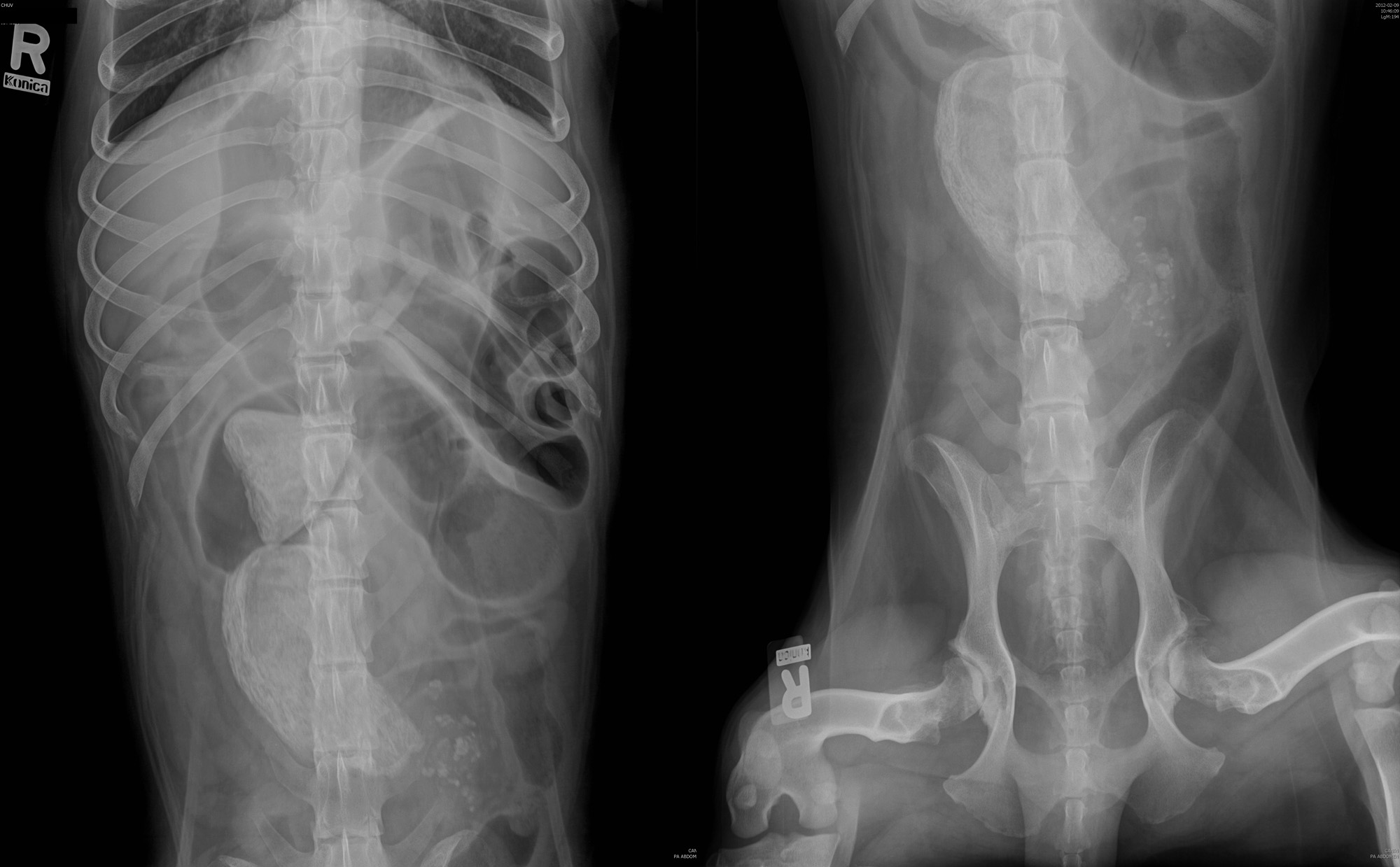
Histoire clinique: Amaigrissement progressif depuis 3 mois, avec courts épisodes de selles liquide, mais sans vomissement. Hypoprotéinémie.
Signalement: Labrador de 5 ans, mâle castré.
Histoire clinique: Amaigrissement progressif depuis 3 mois, avec courts épisodes de selles liquide, mais sans vomissement. Hypoprotéinémie.




