Maladie bronchique féline (asthme pour ne pas le nommer)
Retour sur la colloque de l’AMVQ du 12 février 2012:
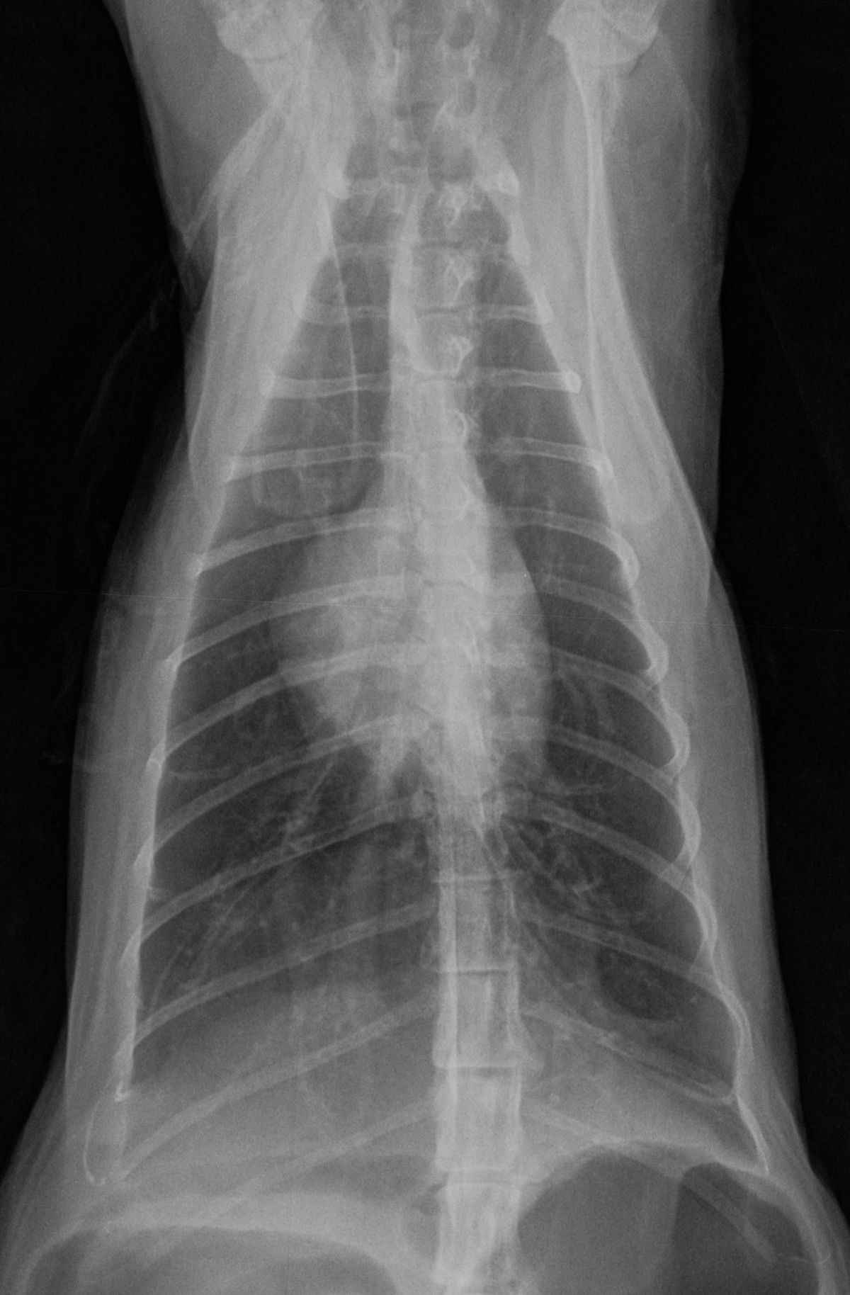
Voici un autre exemple d’hyperinsufflation pulmonaire engendrée par les bronchospasmes et bouchons muqueux qui limitent l’expiration pulmonaire. Cette hyperinsufflation se remarque par la forme de « cloche » du thorax sur la VD. Normalement, le thorax devrait être triangulaire chez le chat. Le diaphragme est aussi aplati sur la latérale. On remarque aussi un patron bronchique léger à modéré, plus facile à voir sur les images magnifiées. Cliquez sur les images pour les voir en haute résolution.







