RadioQuiz 6 – Ma p’tite chienne a mal à la patte
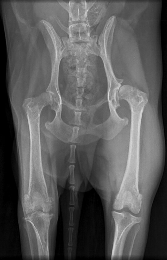
Signalement: femelle Shih Tzu stérilisée de 7 ans.
Histoire clinique: boiterie progressive au membre pelvien droit. Radiographie effectuée pour suspicion d’atteinte aux hanches.
Pour la suite, cliquez ICI.





