DV
2 avis sur « DV »
Laisser un commentaire Annuler la réponse
Ce site utilise Akismet pour réduire le pourriel. En savoir plus sur comment les données de vos commentaires sont utilisées.
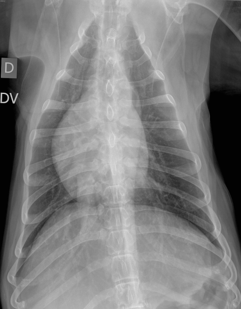
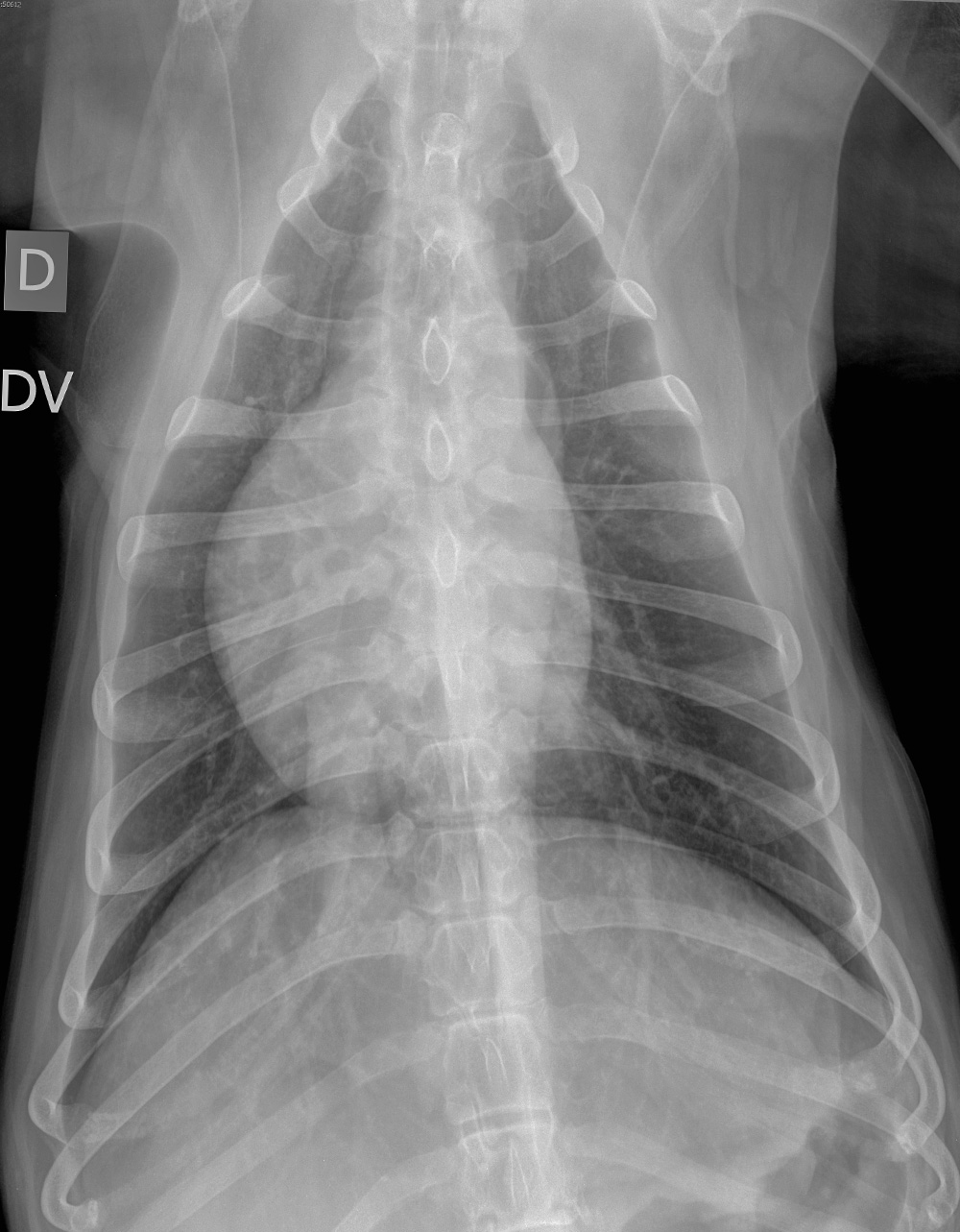
- Publié 23 janvier 2013 à 1000 × 1283 dans Métastases ou pas ?
Ce site utilise Akismet pour réduire le pourriel. En savoir plus sur comment les données de vos commentaires sont utilisées.
Oui, costales sur les deux premières paires ? J y vois une ostelyse avec perte de continuité et une image de déformation de la côté à sa base avec une corticale déformée et amincie voire absente. Et quid de la lésion entre les deux dernières sternebres? Elle semble moins agressive car à cheval sur les deux sternebres. Osteo prolifération bénigne?
D ailleurs ne s agirait il pas de réglages radiographiques pour de l exploration osseuse… Merci!
Salut Marie Hélène ! Bienvenu sur Animages ! Je ne vois pas d’ostéolyse costale, mais peut-être pourrais-tu m’envoyer une image avec des flèches (via une capture d’écran) ciblant la région qui te chatouille ? Sinon, la réaction intersternébrale est de nature dégénérative et sans conséquence clinique. Les structures osseuses apparaissent assez évidentes en raison des filtres employés avec ce système de haute définition.