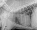
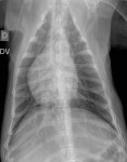
Pour vous guider dans vos diagnostics
Δ
Ce site utilise Akismet pour réduire le pourriel. En savoir plus sur comment les données de vos commentaires sont utilisées.