RadioQuiz 23 – Réponse
Pour revoir l’article initial, cliquez ICI.
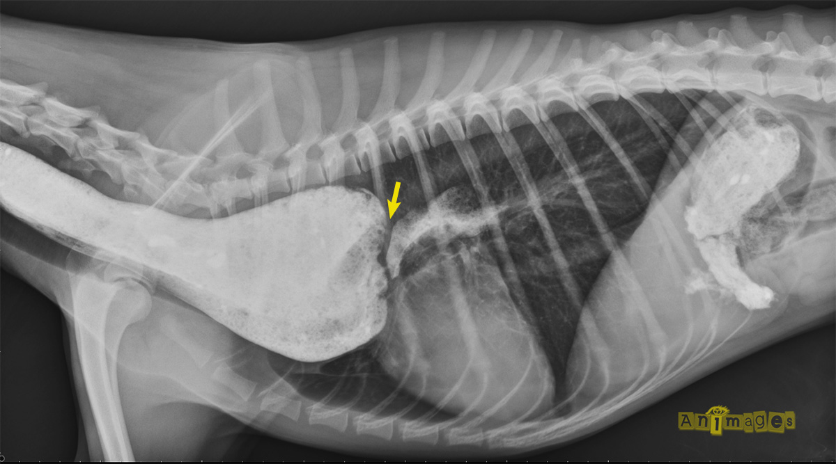
Il s’agissait – comme la majorité d’entres vous le suspectiez – d’un mégaoesophage congénital. L’oesophage (flèches jaunes) est sévèrement dilaté par de la nourriture, déplaçant et comprimant la trachée ventralement. La VD révèle également un patron alvéolaire au lobe moyen droit avec de beaux bronchogrammes aériques (voir image magnifiée), compatible avec une pneumonie par aspiration (fausse déglutition). Pourquoi ce patron n’est pas reconnu sur la latérale ? Simplement parce qu’il s’agissait d’une latérale droite qui force le poumon droit à s’affaisser au profit du poumon gauche, limitant ainsi le contraste radiographique nécessaire à la distinction de cette pathologie. On remarque aussi sur la VD la silhouette du thymus formant un signe de « voile » s’étendant vers la gauche.
Lors d’anomalies vasculaire constrictive – une persistance de la 4e arche aortique étant la principale anomalies rencontrée chez le chien (comme ci-bas, après administration de baryum liquide) -, l’oesophage n’est généralement dilaté que crânialement au site d’obstruction (flèche jaune), bien que sa portion caudale puisse aussi devenir dysfonctionnelle et dilater, mais en laissant un site de rétrécissement à la base du coeur. L’estomac semble en place dans ce cas-ci, excluant une intussusception gastro-oesophagienne. Une obstruction oesophagienne caudale (corps étranger ou stricture) représentait un diagnostic différentiel plausible.






