Une boiterie de lundi matin
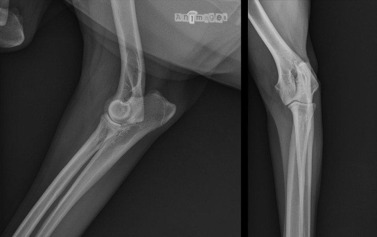
Signalement: Fugasse, Border collie stérilisée de 5 ans. Histoire clinique: Dimanche soir, Fugasse s’est sauvée dans les bois en courant après quelque chose. Elle est revenue le soir même, sans évidence de boiterie, mais il faisait bien noir et le proprio venait de terminer deux grosses Fin du Monde. Le lundi matin, Canelle s’est levée en traînant de la patte thoracique gauche, mais reste enjouée. Sa boiterie répond au deramaxx 25 mg lundi mais revient dès l’arrêt des antiinflammatoires. Fugasse aurait été opérée par son vétérinaire traitant au mois de mai au même membre pour y retirer plusieurs poils de porc épic incrustés.
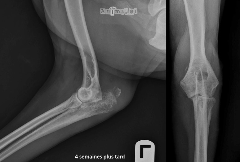
Pas grand chose n’est-ce pas ? Comme la boiterie de Fugasse progressait sans répondre aux anti-inflammatoires, de nouvelles radiographies ont été prises 4 semaines plus tard…
Pour lire la réponse, cliquez ICI.





