La réponse à l’ÉchoQuiz 13 est sortie du fourneau.
Pour la réponse, cliquez ICI et entrez votre mot de passe fourni dans la dernière édition du Le Rapporteur.
La réponse sera rendue publique dans un mois.
Infos – Labrador de 10 ans, femelle intacte, présentée pour une boiterie depuis quelques semaines. Léger inconfort à l’extension de la hanche.
Pour lire la réponse, cliquez ICI.
Chose promise, chose due ! Voici les liens vers mes présentations Powerpoint en format PDF. Vous aurez toutefois besoin du mot de passe que je vous ai donné lors des conférences pour ouvrir ces fichiers.
PATHOLOGIES ABDOMINALES: RADIO OU ÉCHO ?
PATHOLOGIES MYOARTHROSQUELETTIQUES
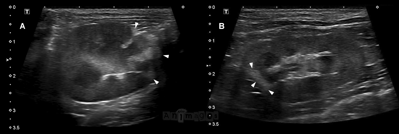
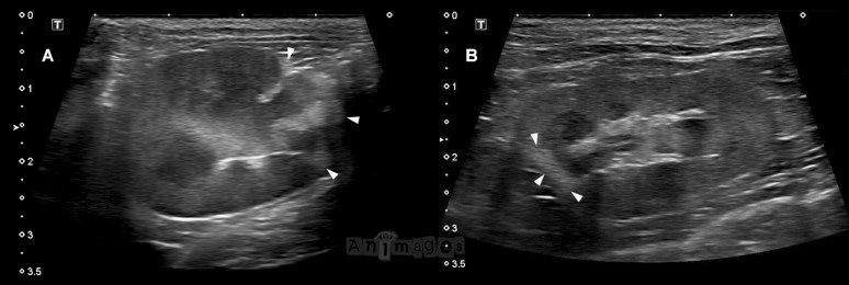
Ça vous arrive comme nous d’observer des foyers hyperéchogènes en forme de prisme dans le cortex de reins de chats, parfois associés à une dépression (indentation) du cortex ? Il s’agit d’infarcti dont la signification clinique restait nébuleuse, du moins jusqu’à ce que Hickey et al. fournissent un peu plus de lumière sur cette observation commune à l’échographie. Leur étude publiée plus tôt en 2014 dans le Journal of Veterinary Internal Medicine (28:319-323) révèle une association entre ces infarcti et la présence d’une cardiomyopathie hypertrophique sous-jacente. Ces chats seraient aussi jusqu’à 8 fois plus à risque d’avoir une thrombo-embolie aortique que les chats sans infarcti, suggérant ainsi une origine embolique à ces foyers ischémique, du moins chez le chat.
La morale de cette histoire ? Mieux vaut investiguer pour une cardiomyopathie occulte chez un chat chez qui des infarcti rénaux sont identifiés à l’échographie.
Les images ci-haut provenant de deux chats différents illustrent bien l’apparence classique de ces infarcti. Notez l’atrophie consécutive de la section hyperéchogène du cortex atteint, déformant le contour du rein. Le clip ci-bas permet d’apprécier le rein en A de façon dynamique. Ce chat ne présentait pas de souffle cardiaque au moment de l’examen, mais une échographie cardiaque n’a pas été réalisée pour exclure plus définitivement une cardiomyopathie sous-jacente. Le chat en B avait quant à lui une cardiomyopathie hypertrophique confirmée.
Après des semaines, des mois, – que dis-je – des années de grossesse, voilà qu’on peut mainte- nant vous annoncer la sortie imminente de ce 2e bébé ! Malgré la popularité de la première édition, Dominique Penninck et moi cherchions à aller encore plus loin. La littérature vétérinaire comme la technologie échographique ont bien changé depuis 2008. On cherchait à mettre tout ça bien en relief. Avec l’aide de nouveaux collaborateurs, c’est plus de la moitié du contenu qui a été changé.
Je vous dévoilerai dans un prochain article sa nouvelle couverture, son nouveau contenu et surtout sa toute nouvelle plateforme web qui l’accompagnera et vous aidera – on l’espère – à prendre d’assault cette fabuleuse modalité d’imagerie. 😉
Héloïse est dans tous ses états. Elle gronde sa chienne Kira en lui disant qu’elle n’a pas le droit de lui bouffer ses choses. « Vilain toutou ! » qu’elle lui dit.
Pour lire la réponse, cliquez ICI.
L’expo de Vincent Munier à Montréal en 2010 m’avait laissé complètement bouche-bée. Les photographes animaliers ne manquent pas et plusieurs mettent bien en valeur toutes les couleurs et autres attributs des animaux qu’ils espionnent avec leur 300mm. Mais Vincent est dans une classe à part. Sa photographie va plus loin que de simplement nous montrer l’animal dans son habitat. Elles se regardent comme on lit des poèmes. Pour découvrir ce photographe d’exception, visitez son site web.
–
Voici le clip échographique accompagnant l’article paru dans Le Rapporteur de l’Association des Médecins Vétérinaires du Québec d’octobre 2014.
–
Signalement & Histoire clinique:
Un Golden retriever mâle castré de 7 ans est présenté pour une histoire de perte de poids. À l’examen physique, vous suspectez une organomégalie crâniale. Les prises de sang ne révèlent rien de particulier.
Examen échographique:
Vous examinez le foie, la rate et l’abdomen central avec une sonde macroconvexe de fréquence 5-8 MHz, pour compléter l’examen du rein gauche avec une linéaire de fréquence 8-18 MHz.
Pour la réponse, cliquez ICI.
Il existait plusieurs différentiels pour cette large masse dont la position anatomique et le déplacement de la trachée et de la silhouette cardiaque laissaient présager une localisation médiastinale dorsale. L’opacité gazeuse triangulaire crânialement à la masse correspond à de l’air dans la lumière oesophagienne, alors que l’oesophage caudal semble légèrement dilaté par du liquide, ou épaissi. Une tomodensitométrie aurait été une excellente modalité pour confirmer sa localisation et compléter son bilan d’extension, qu’une chirurgie soit envisageable ou non. L’échographie a cependant été proposée car elle peut être réalisée sans anesthésie générale et permet de guider des cytoponctions, tout ça à moindre coût que la tomodensitométrie (CT scan). Voici ce qui a été trouvé…

Une large masse (têtes de flèches) hétérogène et globalement hypoéchogène infiltrait de façon circonférentielle la paroi de l’œsophage, formant une masse fusiforme de 5 cm d’épaisseur sur plus de 7.4 cm de longueur. Les extensions crâniale et caudale de la masse ne pouvaient toutefois être évaluées en raison de la superposition des poumons. L’épaississement pariétal (jusqu’à 21 mm) était associé à une perte de la démarcation des couches. L’accès aux nœuds lymphatiques était aussi été limité par la présence d’air pulmonaire (P). Cet épaississement circonférentiel marqué de la portion moyenne de l’œsophage thoracique montrait donc des caractéristiques échographiques compatibles avec une infiltration néoplasique (lymphome, carcinome, mastocytome, sarcome histiocytaire, sarcome musculaire), bien qu’une œsophagite granulomateuse n’était pas complètement écartée (les flèches jaunes pointent vers la lumière oesophagienne).
Trois cytoponctions ont été réalisées par guidance échographique sans évidence de complication, révélant des caractéristiques cytologiques de sarcome histiocytaire !
Nos animaux de compagnie peuvent ingurgiter à peu près n’importe quoi. C’est bien connu. Mais il y a tout de même des limites non ?
Ce Grand Danois fait partie des lauréats de 2014 du Veterinary Practice News. 43 1/2 paires de bas, c’est pas de la tarte !! L’histoire ne dit cependant pas combien de brassées de lavage ont été nécessaires ;-). Pour découvrir d’autres « grands mangeurs », cliquez ICI.


