Cas intriguant 3 – Diantre, que se passe-t-il avec ce chien ?
Signalement: Labrador de 2 ans, femelle stérilisée.
Histoire clinique: Dysphagie, douleur au cou, boiterie de non appui MTG, parésie MPs pire a gauche. Lésion suspectée au niveau cervical caudal latéralisée à gauche.
Ce cas nous a tous laissés perplexes compte tenu de la présentation clinique…
Pour suite, cliquez ICI.







J’ai hâte de voir le CT!! À moins que je ne me trompes…
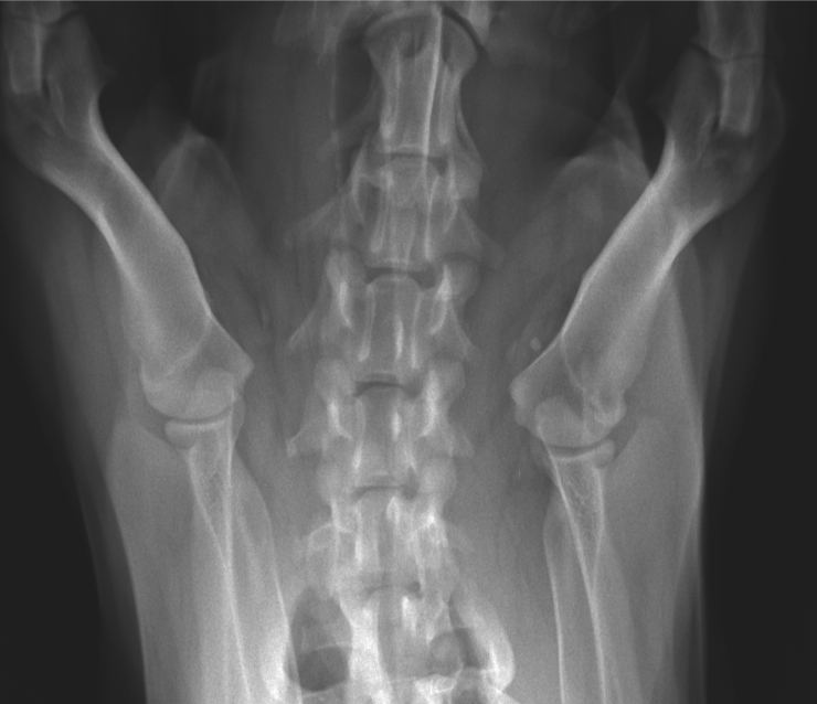
La lésion semble localisée au niveau de l’atlas. Serait-ce une fracture de cette vertèbre cervicale qui entraîne une dysphasie par compression de l’oesophage et douleur au courant? Si fracture il y a, quelle en serait la cause ? Est-ce que la compression de la moelle épinière à ce niveau pourrait être responsable de la paresie des MPs et de la boiterie de non appui au MTG?
Salut Robert ! La forme de l’atlas est due à sa rotation axiale, entraînant les ailes dorsalement et ventralement. C’est pour ça aussi que le processus odontoïde est si évident. On peut donc dire que ce processus est intact. Continue ton exploration des images… 😉
Moi j’aurais fait une IRM, mais peut-etre que ma réponse est biaisée…