Eh bien, cette masse était…
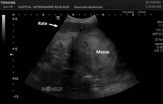
[roulement de tambour] …de l’hyperplasie nodulaire avec hématome spontané ! Elle impliquait la rate que l’on aperçoit en continuité avec la masse sur la bande échographique ainsi que sur l’image CT (pour voir l’article initial, cliquez ICI).
La masse pesait 5,42 kg, soit 13% du poids corporel du chien avant la chirurgie. Mallinckrodt et al. ont de fait démontré en 2011 que plus une masse splénique est volumineuse par rapport au volume du reste de la rate et par rapport au poids du chien, et plus elle a de chance d’être bénigne.
Intéressant n’est-ce pas ? Merci à Louis-Philippe de Lorimier (oncologue) pour avoir fourni ce cas et suggéré cette référence.






Ce même Louis-Philippe a récemment vu un furet duquel Julie Hébert a retiré une masse de 181g, pour un poids avant chirurgie de 720g… soit environ 25% du poids corporel! 🙂
L’histologie est revenue hémangiosarcome, avec métastases disséminées au foie et au mésentère… Peut être qu’Éric Norman Carmel aurait une image de l’échographie pouvant illustrer ce cas?
À 25% du poids du furet, peut-on parler de furosarcome ? 😉
Marc, tu parles d’une volumineuse tumeur du fourreau? Sans blague, même chez le chien on en voit parfois de volumineuses qui sont malignes, bien évidemment, mais l’article cité ici-haut soulignait une tendance statistiquement significative. Une étude similaire n’a pas été conduite chez le furet…et par ailleurs l’hémangiosarcome splénique n’est pas décrit chez cette espèce! 🙂
Ping : «Furosarcome» |