RadioQuiz 32 – Réponse
Pour revoir les images initiales, cliquez ICI.
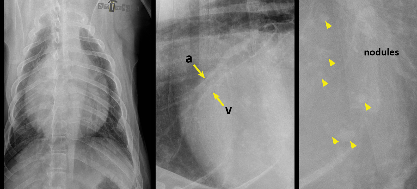
Oscar était mal en point… 54,2% d’entres vous aviez vu juste au moment d’écrire ces lignes. L’aspect globuleux de la silhouette cardiaque était bien suggestive d’épanchement péricardique. La petitesse des artères (a) et veines (v) pulmonaires crâniales appuyaient aussi une hypothèse de tamponade cardiaque davantage que celle d’une insuffisance cardiaque congestive. Et pour finir, de multiples opacités de tissus mous plus ou moins circulaires étaient présentes, suggérant fortement des métastases. Celles-ci étaient peut-être plus difficiles à percevoir sur vos écrans (seulement 2,3% d’entres vous en ont fait état… mais peut-être ne saviez-vous pas que vous pouviez sélectionner plusieurs signes radiographiques dans la liste ?).
À l’échocardiographie, une masse attachée à l’oreillette droite accompagnée d’un épanchement péricardique et des signes de tamponnade cardiaque a été confirmée. Dans un tel contexte, un hémangiosarcome de l’oreillette est le principal diagnostic différentiel. Une échographie abdominale a aussi été réalisée pour exclure la présence concomitante d’une masse splénique, ce qui n’était pas le cas. Toutefois, un épanchement péritonéal anéchogène secondaire à la tamponnade du coeur droit était évidente.




